انجام عمل جراحی کام مصنوعی با استفاده از پرینت سه بعدی توسط اعضاي هيات علمي دانشكده دندانپزشكي
عمل جراحی کام مصنوعی با استفاده از پرینت سه بعدی در تبریز توسط اعضاي هيات علمي دانشكده دندانپزشكي طراحی ،چاپ و در کام بیمار 16 ساله جایگذاری شد.
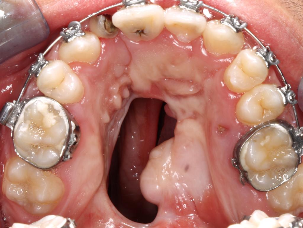
به همت اعضای هیات علمی دانشکده دندانپزشکی دانشگاه علوم پزشکی تبریز شکاف کام گسترده بیماران با پلیت تیتانیومی
اختصاصی که توسط تراش سه بعدی کامپیوتری تهیه شده بود در داخل کشور ممکن گردید .
این کار بر روی یک نوجوان ۱۶ ساله انجام گرفت که به دفعات و روشهای متعدد در مراکز دیگر تحت درمان جراحی شکاف کام قرار گرفته بود، لکن به علت گستردگی شکاف درمان ایشان ناموفق بود .به پیشنهاد آقای دکتر احمد بهروزیان عضو هیات علمی بخش ارتدنسی و همکاری آقای دکتر مرتضوی طرح درمان وی ریخته شد. بنا به اظهارات آقای دکتر بهروزیان در قدم اول ، ارتودنسی و آماده سازی به مدت سه سال برای ایشان انجام شد و سپس طراحی قطعه تیتانیومی آغاز گردید . در این روش بعد از اسکن سه بعدی جمجمه بیمار، قطعه در نرم افزار کامپیوتری به صورت مجازی طراحی شد و بعد از بررسی ها و اندازه گیری های لازم به صورت تراش سه بعدی از بلوک تیتانیومی در یکی از شرکتهای دانش بنیان داخلی تولید گردید .
جراحی برای جاگذاری اپلاینس توسط آقای دکتر علی مرتضوی عضوهیات علمی بخش جراحی دهان ، فک و صورت دانشکده انجام شد. بنا به اظهارات ایشان ، این روش به صورت ابداعی بوده و بعد از حصول نتایج موفقیت آمیز برای سایر بیماران نیز به مورد اجرا گذاشته خواهد شد.ایشان اظهار داشتندهم اکنون وضع بیمار مطلوب بوده و بیمار بعد از دو روز می تواند به زندگی عادی برگشته و نتیجه نهایی بعد از دو هفته از عمل جراحی مورد انتظار است.
امید آن می رود با توجه به نتایج موفقیت آمیز این نوع درمان، بیماران مبتلا به شکاف کام که متاسفانه آمارشان هم بالا می باشد بتوانند از این درمان بهره مند شوند. از مزایای این درمان می توان به موارد زیر اشاره کرد :
-انسداد شکاف بین دهان و بینی که از ورود محتویات دهان به بینی در حین غذا خوردن و برعکس جلو گیری می کند .
- بهبود تکلم بیمار و کاهش عفونتهای ناحیه تنفسی
- سازگاری بافتی
- ثابت بودن قطعه
ضمن عرض تبریک و خداقوت به این همکاران جوان و با استعداد دانشکده ، آرزوی توفیق وسلامتی برایشان داریم.





اختصاصی که توسط تراش سه بعدی کامپیوتری تهیه شده بود در داخل کشور ممکن گردید .
این کار بر روی یک نوجوان ۱۶ ساله انجام گرفت که به دفعات و روشهای متعدد در مراکز دیگر تحت درمان جراحی شکاف کام قرار گرفته بود، لکن به علت گستردگی شکاف درمان ایشان ناموفق بود .به پیشنهاد آقای دکتر احمد بهروزیان عضو هیات علمی بخش ارتدنسی و همکاری آقای دکتر مرتضوی طرح درمان وی ریخته شد. بنا به اظهارات آقای دکتر بهروزیان در قدم اول ، ارتودنسی و آماده سازی به مدت سه سال برای ایشان انجام شد و سپس طراحی قطعه تیتانیومی آغاز گردید . در این روش بعد از اسکن سه بعدی جمجمه بیمار، قطعه در نرم افزار کامپیوتری به صورت مجازی طراحی شد و بعد از بررسی ها و اندازه گیری های لازم به صورت تراش سه بعدی از بلوک تیتانیومی در یکی از شرکتهای دانش بنیان داخلی تولید گردید .
جراحی برای جاگذاری اپلاینس توسط آقای دکتر علی مرتضوی عضوهیات علمی بخش جراحی دهان ، فک و صورت دانشکده انجام شد. بنا به اظهارات ایشان ، این روش به صورت ابداعی بوده و بعد از حصول نتایج موفقیت آمیز برای سایر بیماران نیز به مورد اجرا گذاشته خواهد شد.ایشان اظهار داشتندهم اکنون وضع بیمار مطلوب بوده و بیمار بعد از دو روز می تواند به زندگی عادی برگشته و نتیجه نهایی بعد از دو هفته از عمل جراحی مورد انتظار است.
امید آن می رود با توجه به نتایج موفقیت آمیز این نوع درمان، بیماران مبتلا به شکاف کام که متاسفانه آمارشان هم بالا می باشد بتوانند از این درمان بهره مند شوند. از مزایای این درمان می توان به موارد زیر اشاره کرد :
-انسداد شکاف بین دهان و بینی که از ورود محتویات دهان به بینی در حین غذا خوردن و برعکس جلو گیری می کند .
- بهبود تکلم بیمار و کاهش عفونتهای ناحیه تنفسی
- سازگاری بافتی
- ثابت بودن قطعه
ضمن عرض تبریک و خداقوت به این همکاران جوان و با استعداد دانشکده ، آرزوی توفیق وسلامتی برایشان داریم.